中文
|
Enlish
Liver
Database
Home
Introduction
Committee
Cases
Couinaud liver segment
Adult liver
Liver tumors
Portal hypertension
Spleen disease
Project
Digital medicine
CAS
Vascular
Dong's liver segments classification
Child liver
CBD
Pancreatic tumors
Other diseases
CH-001-N-001500
您的浏览器不支持 video 标签。
一般情况:CH-001-N-001500,7月足月产男性患儿,体重8kg。
主诉:发现肝占位8天。
现病史:8天前,家长因患儿喘息样呼吸,于当地医院就诊,血常规示血小板增高(具体不详),未发现其他异常。进一步就诊于山东大学齐鲁医院,行腹部增强CT示肝右叶巨大肿块,考虑肝母细胞瘤,给予抗感染及对症支持治疗。患儿患病期间无头痛、头晕,无腹泻,无皮肤黄染,小便偶有尿色加深。现为求手术治疗来我院就诊,门诊以“肝占位性病变”收入我科。
查体:腹部膨隆,无肌紧张,无压痛、反跳痛,脾脏肋下未及,肝脏增大,质韧,肝脏下缘为于右锁骨中线肋下约7.5cm,肝区有叩痛,Murphy征阴性。
整理:崔楷悦,高菲 3D:周显军,朱呈瞻
辅助检查:
下腹部增强CT示:肝内巨大占位,考虑肝母细胞瘤可能性大,建议MRI平扫+增强进一步检查,腹腔、腹膜后多发肿大淋巴结影,考虑转移瘤可能性大,肝内多发结节,考虑血管瘤可能性大,建议随访
实验室检查:
血常规:WBC 7.87*10~9/L NEU 1.23*10~9/L RBC 4.31*10~12/L HGB 112g/L PLT 932*10~9/L
生化全套:ALT 23.00U/L AST 81.00U/L TP 73.95g/L ALB 47.92g/L GGT 55.00U/L BIL-T 9.52umol/L BIL-D 4.57umol/L BUN 2.93mmol/L CREA 4.00umol/L T-CHO 4.63mmol/L Trig 4.54mmol/L
肿瘤标志物:AFP72969ng/mL CEA2.41ng/mL NSE41ng/ml
肝炎全套:HAV-IgM 0.10 S/CO HBcIgM 0.14S/CO HCV-cAg 0.09S/CO HEV-IgM 0.1 S/CO HBeAg 0.284S/CO Anti-HBe 1.04S/CO Anti-HBc 0.11S/CO
炎症反应标志物:CRP 19.61mg/l
诊疗过程:
CT结果输入海信CAS系统后行3D重建及手术规划后,于2017-10-10全麻下行“肝肿瘤切除术”手术治疗:
术前三维重建及手术方案设计:
将0.625mm双源薄层CT资料的静脉期和动脉期Dicom格式文件导入海信CAS系统。
通过调节窗宽窗位调整CT序号,对肿瘤,肝实质,胆囊,下腔静脉,肿瘤,肝动脉、门静脉及肝静脉等进行三维重建;系统自动计算肿瘤体积和肝脏体积。
模拟手术操作,自动计算切除肿瘤体积。肝脏体积为453.7ml,通过比对2-3岁正常肝脏体积为475.97±99.7ml,通过术前模拟手术,精准判断切除后剩余肝脏体积能耐受,避免肝衰竭发生。
手术步骤:
麻醉成功后,病人平卧位,常规碘伏消毒手术区皮肤,铺无菌巾、单。取右肋缘下切口,分层入腹,纱布垫护皮。探查见:肿瘤位于右半肝,大小约10*8*6cm,质韧,已侵及肝被膜,决定行右肝部分切除术。断肝右三角韧带,冠状韧带,肝结肠韧带,游离右半肝。沿肿瘤边缘约1cm,依次钳夹、切断、结扎肝断面各结构,切除肿瘤及部分肝组织。断面渗血处分别缝扎止血,填塞止血敷料后,将创面对拢缝合。温蒸馏水1000ml冲洗腹腔,止血,于肝断面旁放置引流管1根于右侧腹穿孔引出。清点纱布器械无误,分层缝合腹壁切口。术中出血约500ml。术后病人安返病房。手术顺利,麻醉满意,解剖标本,见切除肝标本内有直径8cm灰色质韧肿物,断面有坏死,家属过目后送病理检查。结果回示:肝母细胞瘤。手术时手术者可开启Hisense CAS系统手势控制功能,对肿瘤的解剖结构进行实时、全方观察、评估,起到术中导航作用。
术后病理:
1、(肝内及肝脏肿瘤)低分化恶性肿瘤,结合形态学及同号17-042585免疫组化结果,意见为肝母细胞瘤。
2.(瘤旁1)肝组织内未见肿瘤成份,局灶间质纤维组织增生并小胆管及血管瘤样增生。
3.(瘤旁2)肝组织内未见肿瘤成份。
术后给予抗生素抗炎治疗,静脉高营养、全量补液及对症支持治疗,患儿恢复良好,伤口无渗血渗液,无红肿疼痛,于2016-12-12出院。
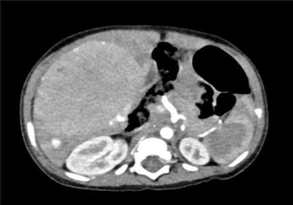
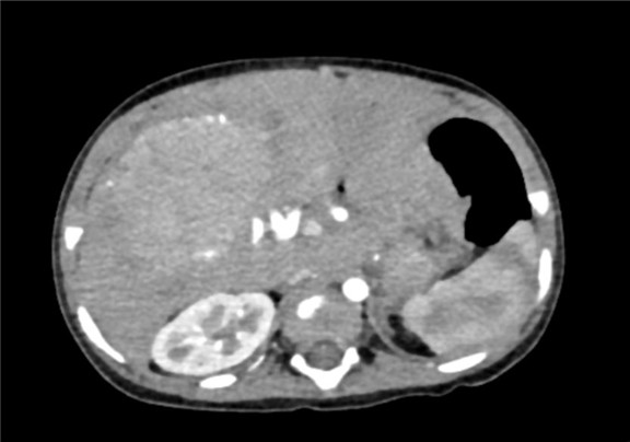
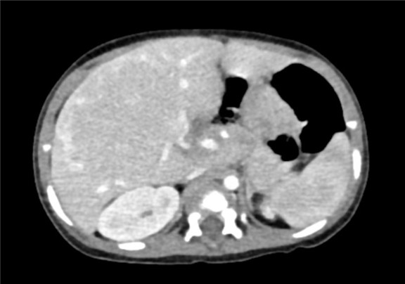
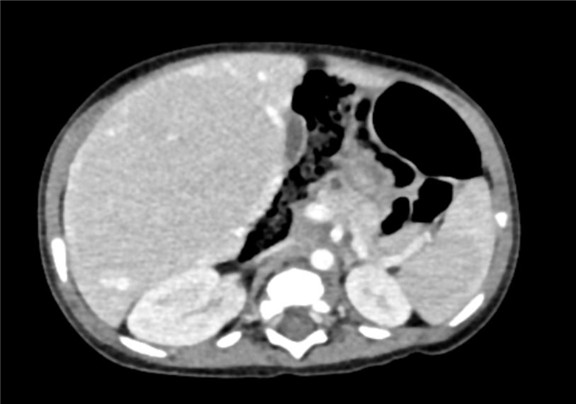
术前CT检查:
动脉期
静脉期
术前三维重建:
重建图片
重建视频
您的浏览器不支持 video 标签。
您的浏览器不支持 video 标签。
您的浏览器不支持 video 标签。
您的浏览器不支持 video 标签。
more
merge